تولید صنعتی ورقه کراتینوسیت
کاربردها و مصارف: درمان زخمهای ایجاد شده پوستی حاصل از سوختگی
نام واحد:پژوهشگاه رویان
نحوه تماس و ثبت سفارش:www.royaninstitute.org
مصرف کنندگان:بیمارستان ها و کلینیک ها
گروه های استفاده کنندگان(گیرندگان خدمات):
اطلاعات هماهنگ کننده:23562000
اهداف اجرای طرح ( مشکلات، نیازهای موجود در جامعه، صرفه جویی ارزی، .......):
- تولید صنعتی محصول GMP-gradeبا قابلیت پیوند به انسان طبق استانداردهای بین المللی
- ایجاد زیرساخت برای توسعه محصولات پیشرفته مهندسی بافت قابل صادرات به کشورهای منطقه
- خروجی و دستاوردهای حاصل از اجرای پروژه:
ایجاد بانک آلوژن سلول کراتینوسیت
- کاربرد:
درمان زخمهای ایجاد شده پوستی حاصل از سوختگی .
سوختگی یکی از دردناکترین و تلخترین تجربیاتی است که یک نفر میتواند در زندگی داشته باشد، چون علاوه بر آنکه درد و سوزش زیادی دارد، حتی ممکن است پس از بهبودی نیز اثر زخم (اِسکار) بهجای بگذارد. سوختگی یکی از شایعترین نوع آسیب دیدگی در کشور ما نیز است.
سه نوع سوختگی داریم: سوختگی درجه ۱، سوختگی درجه ۲ و سوختگی درجه ۳. سوختگی درجه یک؛ فقط لایه خارجی پوست یا اپیدرم تخریب میشود و دارای علائم قرمزی پوست, ورم و در برخی موارد همراه با درد است. سوختگی درجه دو؛ هنگامی که اولین و دومین لایه پوست (اپیدرم و درم) تخریب شوند، سوختگی درجه ۲ نام دارد. و علائم آن عبارتند از: تاول پوستی , قرمزی همراه با لکه لکه شدن و درد شدید. سوختگی درجه سه؛ تمام لایههای پوست تخریب میشوند و باعث آسیب دائمی بافت میشود. بافت چربی، ماهیچه و حتی استخوان نیز ممکن است درگیر شوند. برای درمان سوختگیهای نوع 1 و 2 از روش سرد کردن، بستن محل سوختگی با گاز استریل و داروهای ضد درد استفاده میشود. در سوختگیهای نوع سوم به درمانهای جراحی مانند پیوند پوست نیاز است. اما در بسیاری از افراد به دلیل سوختگی وسیع امکان جداسازی پوست از نواحی سالم برای پیوند وجود ندارد بنابراین ضرورت تولید پوست در شرایط آزمایشگاهی از اهمیت ویژه ای برخوردار است.
در سالهای اخیر تکنولوژی مهندسی بافت تولید بافتهای مختلف در شرایط آزمایشگاهی را فراهم کرده است. در طرح حاضر با بهرهگیری از این تکنولوژی اقدام به تولید ورقه کراتینوسیتی برای درمان سوختگی نوع3 کرده است. لازم به ذکر است که شیوع سوختگی در ایران بالاتر از میانگین جهانی است و سالانه 13% افراد دچار سوختگی میشوند.
دستاوردهای حاصل از اجرای طرح:
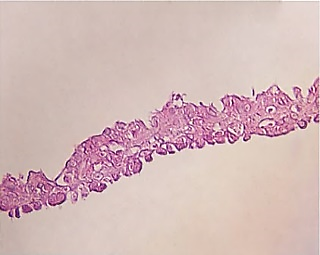
سلولهای کراتینوسیت مورد نیاز برای تولید ورقه کراتینوسیت به صورت انبوه کشت داده شده و در بانک سلولی نگهداری میشوند. همچنین تولید آزمایشی ورفه کراتینوسیتی نیز انجام شده و مطالعه حیوانی آن در حال انجام است. محصول نهایی با نام روی شیت ( RoySheet) به بازار عرضه خواهد شد.
وضعیت تولیدمحصول/فناوری در دنیا و جایگاه ایران در این موضوع:
محصولات پوست مهندسی شده در دنیا جزء اولین محصولات مهندسی بافتی هستند که در بازار عرضه شدند. و از شرکتهای معروف در این زمینه شرکت Tego Science است که در سال 2001 در کشور کره تأسیس شد و در حال تولید محصولات سلول درمانی پوست است که از سلول های اپیتلیال انسانی منشاء می گیرند. محصول نهایی مرکز ATMP رویان از نظر مشخصات فنی با Kaloderm ) سومین محصول سلول درمانی آلوژنیک در جهان برای بهبود زخم ها) مشابه است. قیمت این محصول برای یک شیت با اندازه 10cm2، 265 دلار است. درحالیکه متوسط محصول مورد نیاز برای درمان سوختگی 200cm2 است که هزینه بالایی را به بیمار تحمیل میکند. امید است با تولید انبوه این محصول در مرکز ATMP رویان بتوانیم با قیمتی خیلی پایینتر در اختیار بیماران داخل کشور و حتی کشورهای مجاور قرار دهیم.
جایگاه طرح به لحاظ سطح فناوری:
مهندسی بافت جز، روشهای نوین در دنیا محسوب میشود بنابراین تولید محصولات مهندسی بافت با رعایت پروتوکل های بین المللی GMP جزء فناوری پیشرفته دسته بندی میشود.
مشخصات فنی:
ورقه اپیتلیالی کراتینوسایتی یک جایگزین پوستی از سلولهای کراتینوسایت مشتق از بافت اپیدرمی فوراسکین است. این ورقه دارای ویزگیهایی از جمله ایمن بودن اجزای سازنده این ترکیبات برای کاربرد های انسانی، موثر بودن در درمان و مناسب بودن از لحاظ کاربردی و جابجایی است. این جایگزین هم چنین به نوعی مانع اتلاف حرارت ومایعات و هم چنین کاهش میزان عفونت والتهاب و درد در موضع سوختگی و زخم نیز می گردد.
ارسال نظر برای این محصول مجاز نیست.

